Přírodovědná praktika v 6. ročníku

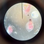
Kvasinky patří mezi jednobuněčné organismy, rozmnožují se nepohlavně – dělením svých buněk. Takový typ rozmnožování označujeme jako nepohlavní. Buňky se od sebe oddělí za vhodných podmínek. Žáci šestých tříd sledovali toto rozmnožování v přímém přenosu.

Lišejníky se skládají ze dvou na sobě (ne)závislých organismech – houby a řasy. Všichni je známe, ale jen málokdo ví, že se nejedná ani o houbu ani o rostlinu. Šesťáci si zkusili nasbírané lišejníky určit a roztřídit je podle jejich těla.

Práci s mikroskopem si žáci zkusili při sledování trvalých preparátů.

Iva Chudomelová & Radka Jílková, vyučující Př